Your natural teeth are built to last a lifetime if you care for them daily with proper brushing, flossing, and regular dental visits. Many people lose teeth early due to decay, gum disease, and lifestyle choices, but with consistent oral hygiene and professional care from practices like Buford Dentist, your teeth can remain strong and functional well into old age.

Human teeth are permanent. Once the baby teeth fall out, the set you have is meant to carry you through life. Dental researchers, including Columbia University Irving Medical Center, confirm that daily care helps teeth last forever.
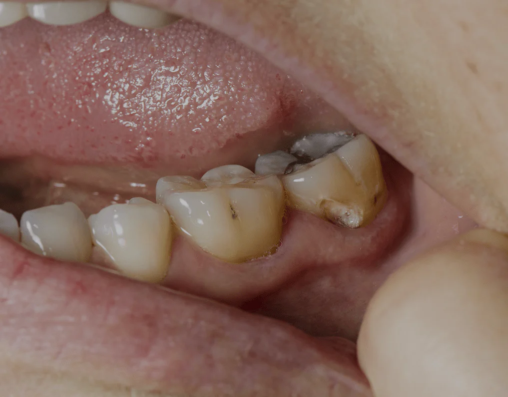
Without regular care, decay, gum disease, and injury reduce their lifespan. At Buford Dentist, patients who commit to prevention often keep full sets of teeth into their 80s and 90s. Those who neglect oral hygiene often lose several teeth before age 60.

How long do natural teeth last on average?
Studies show many people in their 70s already have partial dentures or implants, yet others reach 90 with all their teeth intact. The difference lies in care, genetics, and professional support.

Tooth loss is not a normal part of aging. It happens because of preventable conditions.

Permanent teeth last longer in patients who:
People who start healthy habits early often maintain full dentition into old age. Even when problems arise, modern dentistry provides solutions to preserve natural teeth longer.

Dentists see clear patterns across populations.
Buford Dentist often advises patients that natural teeth should outlast most restorations if they are properly maintained.

When natural teeth weaken or are lost, restorations extend function.
Patients often combine restorations with natural teeth. With guidance from Buford Dentist, restorations extend oral function into late life.

The following increase the risk of tooth loss:
When these are controlled, teeth remain healthier for decades longer.

Practical strategies to extend tooth longevity include:
Buford Dentist stresses that prevention is always less costly and less invasive than treatment.

There is no set age for natural tooth loss. Unlike baby teeth, permanent teeth are meant to stay. When tooth loss occurs, it is usually due to disease, not aging.
Common statistics:

Studies link oral health with systemic health:
Protecting your teeth protects your overall health.

Accidents threaten teeth at any age.
Buford Dentist recommends families keep emergency dental contacts readily available.

Consistent dental visits catch issues early. Professional cleanings remove plaque that brushing and flossing miss. Early treatment of cavities prevents progression to root canals or extractions.
Buford Dentist provides customized care plans for patients of all ages. The goal is to protect natural teeth and extend restoration lifespan where needed.

The answer depends on you. Teeth are built to last forever, but only if cared for. Patients who take proactive steps keep their teeth longer. Those who ignore oral health face extractions and costly restorations.
Buford Dentist reminds patients that every decision matters. Brushing tonight helps prevent problems 20 years from now.

The future of dentistry continues to improve tooth survival:
Yet no technology replaces prevention. Daily habits remain the foundation for lifelong teeth.

Buford Dentist encourages patients to see teeth not as disposable, but as permanent structures worth protecting.