Drinking alcohol harms your teeth by causing enamel erosion, dry mouth, staining, gum disease, and even increasing oral cancer risk. Different drinks affect your mouth in different ways, but you can protect your teeth by choosing wisely, practicing good hygiene, and following preventive steps recommended by Buford Dentist.

Drinking alcohol and your teeth are directly linked. Alcohol changes the pH in your mouth, dries it out, and creates the perfect environment for bacteria. These effects make enamel weaker, gums more prone to infection, and teeth more likely to stain.
Key effects include:

Enamel begins to dissolve when exposed to acid below pH 5.5. Many alcoholic drinks fall below this threshold.
Common drink acidity levels:
Acid exposure softens enamel. If you brush right away, enamel wears away faster. Over time, enamel thinning leads to sensitivity and higher risk of decay.

Alcohol dehydrates the body and decreases saliva production. Saliva protects teeth by:
Without saliva, acids stay longer on the teeth, bacteria multiply, and enamel cannot recover as easily. This condition is called xerostomia, or dry mouth, and it is one of the strongest links between drinking and dental damage.

Sugar feeds bacteria in your mouth. Bacteria produce acids that attack enamel. Cocktails with soda, juice, or syrups are especially harmful because they combine sugar with acid.
High-risk examples:
These drinks coat the teeth in sugar and acid, raising cavity risk significantly.

Ethanol in alcohol is metabolized into acetaldehyde, a compound classified as carcinogenic. Acetaldehyde damages DNA in oral cells. Combined with smoking, the risk multiplies.
Alcohol also weakens the immune system and makes tissues more sensitive to carcinogens. Long-term heavy drinking is one of the strongest predictors of oral and throat cancer.

Alcohol affects every part of your mouth.
The combined effect is faster oral decline if drinking habits are not managed.

Dark drinks stain enamel, especially when it is already softened by acid.
Once stains set in, only professional cleaning or whitening can remove them.

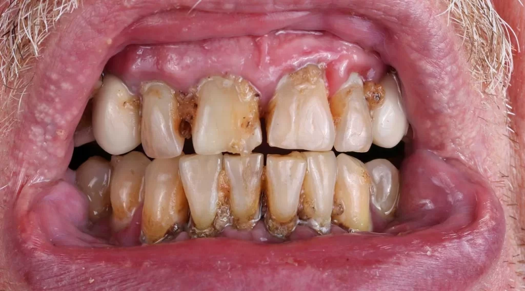
Alcohol irritates gum tissue and increases inflammation. Reduced immunity makes it harder for the gums to fight bacteria. The result is a higher risk of gingivitis and periodontitis.
Signs of gum disease to watch for:
If left untreated, gum disease leads to tooth loss.

Not all drinks affect your mouth equally.

Myth: Alcohol cleans teeth
Fact: Alcohol dries the mouth and encourages bacterial growth.
Myth: Brushing right after drinking prevents damage
Fact: Brushing softened enamel removes protective layers. Wait 30 minutes.
Myth: Moderate drinking has no effect
Fact: Even small amounts contribute to staining, dryness, and erosion.


Oral hygiene depends on consistency. Alcohol disrupts routine by weakening enamel and reducing saliva. People who drink often may also neglect brushing at night, which increases damage.
Daily practices that reduce alcohol’s effect:

Alcohol speeds up decay through three factors: acid, sugar, and dryness. Teeth without enamel protection develop cavities faster, especially along the gum line.
Signs of decay:

Simple changes make a difference:
Research shows a direct link between alcohol and higher oral cancer cases. Dentists warn that combining alcohol with tobacco raises the risk even further. Regular screening during check-ups is essential. Buford Dentist recommends oral cancer screening for adults who drink regularly, even if they show no symptoms.

Alcohol will continue to be a common social habit, but awareness of its impact on teeth is growing. More patients are asking about enamel erosion, staining, and cancer risk during check-ups. With preventive care and informed choices, people can enjoy drinks while protecting their oral health. Buford Dentist encourages patients to balance enjoyment with responsibility, ensuring that smiles stay strong and healthy.