Skipping dental cleanings for a year allows plaque to harden into tartar, which leads to gum disease, cavities, and potential tooth loss. Missing your annual cleaning also increases your risk of enamel erosion, bad breath, and higher treatment costs in the future. Regular professional cleanings at Buford Dentist protect both your oral and overall health.

Professional dental cleanings are more than cosmetic. They are preventive care. A dental hygienist removes plaque and tartar that brushing and flossing leave behind. They also check for early signs of gum disease, tooth decay, and even oral cancer.
At Buford Dentist, cleanings include:
Brushing and flossing are important. But they cannot remove hardened tartar. Only professional dental tools can. Without regular cleanings, plaque builds up under the gums, creating a foundation for disease.

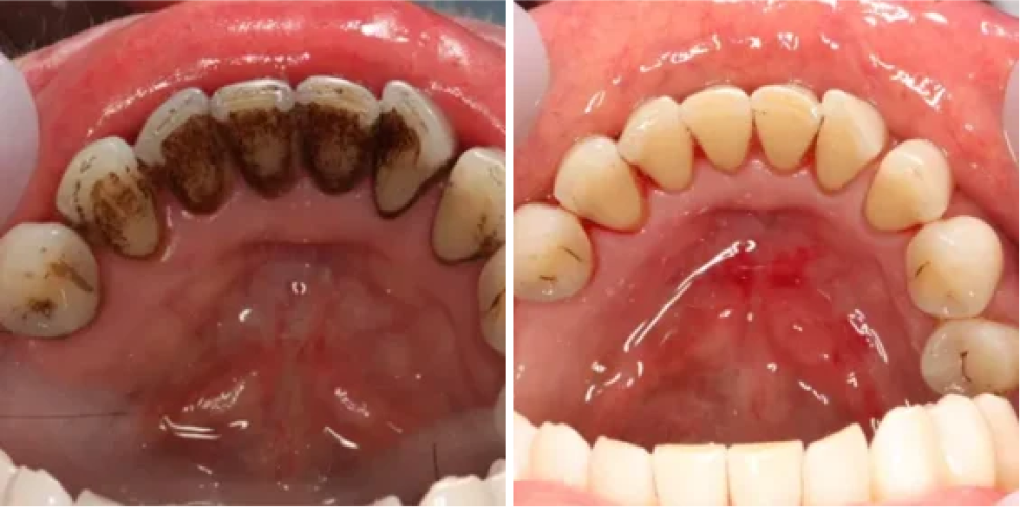
Plaque begins forming on your teeth within hours of brushing. Over time, it hardens into tartar. Tartar traps bacteria along the gumline. Once hardened, it can only be removed by a dentist or hygienist. Skipping cleanings for a year means:
This is the earliest stage of gum disease, known as gingivitis.
Gingivitis develops quietly. You may not feel pain, but symptoms appear:
Left untreated, gingivitis can progress to periodontitis. That’s when the infection moves deeper under the gumline and starts damaging the bone that supports your teeth.
When you skip dental cleanings for a year, bacteria and acids attack your enamel. Small weak spots can form. These become cavities over time. Even with good brushing habits, missed cleanings allow decay to grow unnoticed. Once cavities form, they spread quickly without professional care.

Untreated gingivitis turns into periodontitis. This stage involves bone and tissue loss. Deep pockets form between your teeth and gums. Bacteria collect in these spaces, weakening the bone structure. Without treatment, this can lead to:
Once bone is lost, it cannot regrow naturally. Treatment becomes more complex and costly. Professional cleanings at Buford Dentist help stop this progression early.
Your mouth is connected to your overall health. Bacteria from gum infections can enter the bloodstream. This increases inflammation throughout the body. Research links gum disease to several systemic conditions:
Skipping a dental cleaning for a year doesn’t only risk your teeth. It affects your total health.
Preventive visits are inexpensive compared to restorative procedures. If you skip cleanings for a year or longer, minor issues can become major treatments. Common outcomes include:
Delaying care always costs more in the long run. Early detection during regular checkups saves both money and discomfort.

While most people should visit every six months, others may need more frequent cleanings. People with diabetes, smokers, or those with a history of gum disease are at higher risk. At Buford Dentist, we personalize cleaning schedules based on each patient’s health, not a one-size-fits-all rule.
If you have skipped your dental cleaning for a year or longer, here is how to recover:
This step-by-step approach helps reverse early damage and restores oral health.
To reduce risks between appointments:
If you smoke or have medical conditions like diabetes, you should schedule cleanings more often. Preventive care keeps issues under control.

When booking your visit, tell your Buford Dentist team it has been a year or longer. This helps the dentist prepare for a thorough cleaning and evaluation.
Getting these answers helps you create a personalized prevention plan.
Your dentist will outline a plan to restore your gum health. This may include:
Consistency is key. Once you return to a healthy routine, future visits become easier.
Follow your dentist’s recommended schedule. Signs to watch for include:
Early detection keeps problems manageable and prevents relapse.