Cavities do not heal on their own once a hole forms in the enamel. Early-stage tooth decay, known as enamel demineralization, can be reversed with proper care such as fluoride treatment, diet changes, and improved oral hygiene. Once the enamel is broken, professional dental treatment is required to stop further damage.

To understand whether cavities can heal without fillings, you first need to know how they form. Tooth decay begins when bacteria in your mouth feed on sugars and produce acids that attack the enamel. This process is called demineralization.
Over time, small white or brown spots appear on the enamel. These spots indicate mineral loss, but at this stage, there is no hole. If untreated, the demineralized area breaks down further, forming a cavity that penetrates the enamel and spreads to the dentin beneath.
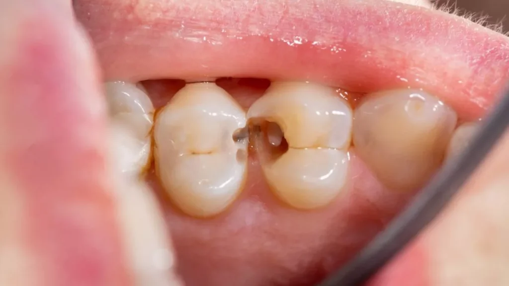
Once decay reaches the dentin, the tooth structure is permanently damaged and cannot rebuild itself. The only way to restore the tooth is through professional dental treatment such as a filling, crown, or other restorative procedure.
Key stages of decay:

You can stop or reverse early tooth decay before a cavity forms. This stage is called the reversible stage of demineralization.
Signs of reversible decay:
During this stage, remineralization can occur naturally if the right conditions exist. Fluoride, calcium, phosphate, and saliva work together to rebuild weakened enamel.
Once the enamel is broken and a hole forms, the damage is permanent. At that point, the body cannot regenerate lost enamel, and only a filling or similar restoration can repair the tooth.
Self-assessment checklist:
If you answered yes to these, healing through remineralization might still be possible.

If your tooth is still in the early stage of decay, certain steps can encourage natural remineralization and prevent further damage. Buford Dentist recommends focusing on hygiene, nutrition, and lifestyle habits that protect enamel.
The foods you eat directly impact your oral health. To promote enamel remineralization, maintain a diet that supports strong teeth.
Fluoride remains the most effective mineral for rebuilding enamel. It helps replace lost calcium and phosphate, forming a stronger, more acid-resistant surface.
Options include:
Remineralizing gels or pastes containing calcium phosphate or nano-hydroxyapatite may also aid in enamel repair when used consistently.
Saliva acts as your mouth’s natural defense system. It helps neutralize acids, wash away food particles, and deliver minerals to the enamel surface.
Tips to support saliva flow:
Your overall health affects your oral environment. Conditions such as acid reflux or frequent vomiting introduce stomach acids that erode enamel.
Steps to protect enamel:

Even with good home care, there comes a point when professional treatment is unavoidable. When decay progresses beyond the enamel, the tooth structure becomes too compromised for natural healing.
Signs you need a filling or other dental treatment:
Common dental treatments:
If you still have older silver fillings, ask your dentist about safe Mercury Filling Replacement to restore both the appearance and safety of your smile.
Comparison: Non-invasive vs. Invasive Treatment
Aspect | Non-Invasive Healing | Filling/Restoration |
Stage | Early demineralization | Advanced decay |
Pain level | None | Mild to moderate |
Treatment type | Fluoride, diet, hygiene | Filling, crown, or root canal |
Cost | Lower | Higher |
Long-term outcome | Requires strict maintenance | Restores function and appearance |
Early intervention saves time, money, and discomfort. If you are unsure about the stage of your cavity, schedule a dental exam with Buford Dentist for accurate diagnosis and advice.

Many people try home remedies they find online. While some methods help prevent decay, they do not reverse existing holes. Buford Dentist separates fact from fiction.
Myth: Oil pulling can fill cavities.
Fact: Oil pulling can improve oral hygiene but cannot rebuild lost enamel.
Myth: Stopping sugar intake heals cavities completely.
Fact: Reducing sugar helps prevent further decay but does not repair holes.
Myth: Holes in teeth can close with herbal pastes.
Fact: Once enamel is broken, no paste or supplement can regrow it.
Myth: Sensitivity means healing is happening.
Fact: Sensitivity usually indicates enamel erosion or dentin exposure.
Myth: Children’s cavities heal as baby teeth fall out.
Fact: Untreated decay can affect permanent teeth and oral health.